Navigating the Future: The Rise of Robotic Bronchoscopy — Advancing precision, expanding possibilities
Newsletter April 2026
Navigating the Future: The Rise of Robotic Bronchoscopy
Advancing precision, expanding possibilities, and shaping the next chapter of interventional pulmonology.
Dear colleagues and friends,
Robotic bronchoscopy is rapidly emerging as one of the most transformative innovations in interventional pulmonology. By enhancing navigation to peripheral lung lesions, improving procedural stability, and supporting more precise tissue sampling, robotic platforms are redefining how we approach diagnosis and intervention in thoracic diseases.
Beyond technological advancement, the growing integration of robotics also raises important questions about training, accessibility, cost-effectiveness, and equitable implementation across different healthcare systems. As our field continues to evolve, collaboration, education, and evidence generation will be essential to ensure that these innovations translate into meaningful improvements in patient care.
In this issue, we highlight key developments, expert insights, and ongoing initiatives that reflect the expanding role of robotics in interventional pulmonology and its potential to shape the future of our specialty.
⭐ Member Spotlight
Meet Dr. Amir Hanna
Dr. Amir Hanna
Interventional Pulmonologist
Hôpital Marie-Lannelongue & Institut Gustave Roussy, Paris, France
Specialist in robotic-assisted bronchoscopy (RAB), advanced peripheral navigation, EBUS, and bronchoscopic lung volume reduction. Founder and director of the MALIC RAB platform (Marie-Lannelongue Innovation Center), the first French academic RAB infrastructure. His program completed 100 Ion™ procedures in under six months, the fastest ramp-up for a new RAB centre in France.
He practises within the Interventional Bronchoscopy Unit, Division of Thoracic Surgery and Lung Transplantation, alongside Prof. Hervé Dutau, Dr. Adrian Crutu, and Dr. Chahine Medraoui, under the direction of Prof. Elie Fadel.
Member of ERS, EABIP, GETIF, SPLF, and EACTS. Contributing author to Normal and Pathological Bronchial Semiology: A Visual Approach (Elsevier).
This month, he shares with us a remarkable procedure demonstrating the value of robotic bronchoscopy in surgical planning.
🔍 Procedure Spotlight
RAB-Guided Marking Before Thoracic Surgery
Dr. Amir Hanna
Hôpital Marie-Lannelongue, Paris
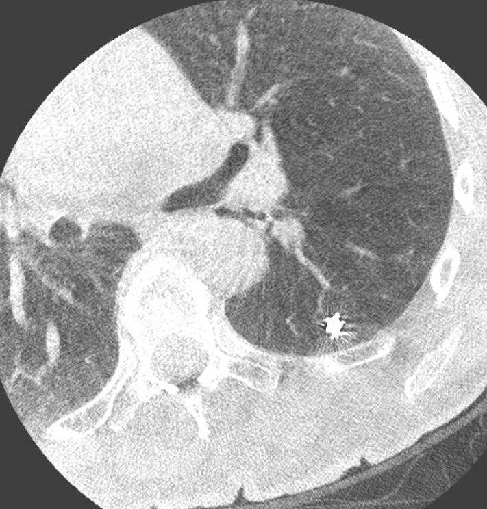
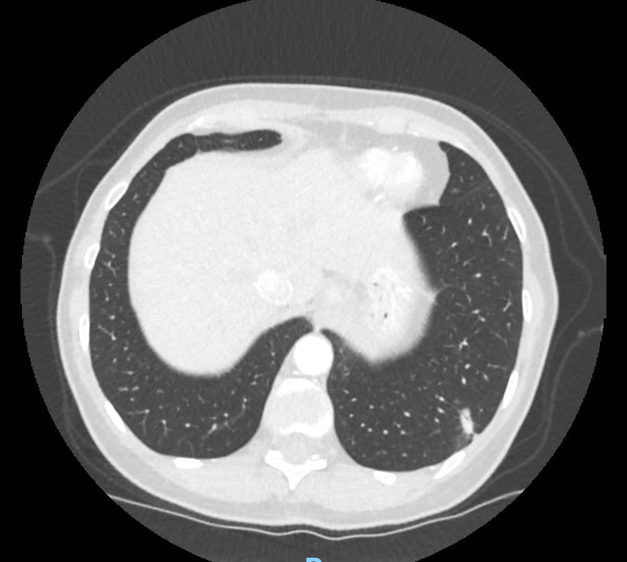
A woman with a confirmed left lower lobe adenocarcinoma presented an additional 3 mm nodule in the same lobe, too small for percutaneous sampling. Its nature was unknown, yet its location was directly relevant to surgical planning: if malignant, resection would need to be extended.
Using the Ion™ robotic platform, navigation to the nodule was achieved via shape-sensing catheter, with cone-beam CT confirming tool-in-lesion position. A Tornado coil was deployed as a fiducial marker, followed by indocyanine green (ICG) injection for intraoperative fluorescence localization.
Four days later, the adenocarcinoma was resected by segmentectomy; the marked nodule was identified via ICG fluorescence and removed by wedge resection. Final pathology confirmed a benign lesion, sparing the patient from a more extensive resection.
By characterising and marking the 3 mm nodule bronchoscopically before surgery, RAB provided the surgeon with certainty previously unavailable for lesions of this size: maximum parenchyma preservation, achieved not by accepting less information, but by acquiring more of it before the first incision.
🎥 Procedure Video
Dr. Filippo Lanfranchi
Respiratory Disease Unit, Ospedale dell'Angelo, Venice
L-EBUS Guided TBNB Diagnosing SCLC in Mediastinal Adenopathy
A 62-year-old woman, active smoker, presented with an episode of mild hemoptysis. A chest CT scan revealed a mediastinal adenopathy/mass on station 5 (ATS lymph node classification), located between the aorta and the left pulmonary artery.
PET/CT scan was positive on the lymph node. Given these findings, she underwent a linear endobronchial ultrasound (L-EBUS) under conscious sedation (midazolam + fentanyl).
EBUS-guided transbronchial needle biopsy (TBNB) was performed using a 22G Franseen needle tip (Acquire Pulmonary) with slow-pull technique.
🎥 Bronchoscopy Video
🔬 Final Diagnosis
Small Cell Lung Cancer (SCLC).
🩺 Case of the Month
Synchronous Tumors via Navigation Bronchoscopy
A unique case involved three synchronous primary tumors diagnosed during navigation bronchoscopy, managed with varied modalities. This demonstrates the diagnostic yield of advanced bronchoscopy in multifocal disease.
CT and positron emission tomography (PET) showed two nodules for which a navigation procedure was performed. Both nodules were sampled, and on inspection, a third occult endobronchial lesion was also found. Pathology revealed three separate primary tumors, which were treated with three different treatment modalities: surgery, radiotherapy and endobronchial cryoablation.
Authors: Stephan E P Kops, Roel L J Verhoeven, Erik F M van der Heijden
A Focus on Robotics: Successful Tool-in-Lesion and Best Practices
📖 Paper Highlight
The CONFIRM Study: ssRAB with mCBCT for Small Peripheral Nodules
Bryan C Husta, George Z Cheng, Hitesh Batra et al.
The CONFIRM study reports results from a prospective multicenter trial on shape-sensing robotic-assisted bronchoscopy (ssRAB) with integrated mobile cone beam CT (mCBCT) for small peripheral pulmonary nodules (≤20 mm). It achieved a 99.4% tool-in-lesion rate, 89.0% diagnostic yield, 91.5% sensitivity for malignancy, and zero pneumothorax cases across 155 patients.
The MATCH 2 Study: Real-Time 3D Targeting with Robotic Bronchoscopy
Amit K Mahajan, Duy K Duong, Johanna Cortes et al.
The MATCH 2 study confirmed 96.7% accuracy in real-time 3D targeting with robotic bronchoscopy using digital tomosynthesis and augmented fluoroscopy on the Galaxy System. RAB-DT demonstrated tool-in-lesion in 30 of 31 nodules (96.7%), with one case resulting in tool-touching-lesion (TTL). Of the 30 nodules demonstrating TIL by DT, TIL was confirmed in 29 nodules by CBCT (concordance rate of 96.7%).
This comprehensive article outlines procedural techniques to optimize efficiency, prevent atelectasis, and maximize outcomes in shape-sensing robotic bronchoscopy with mobile cone beam computed tomography guidance, drawing from extensive clinical experience. The focus areas include ssRAB-mCBCT diagnostic yield, safety, and procedural tips for peripheral lesions.
4th Global Conference on Robotic Assisted Bronchoscopy
📍 Brescia, Italy
📆 18–19 June 2026
RAB 2026 is back in Italy! The 4th Global Conference on Robotic Assisted Bronchoscopy will return to its birthplace in Brescia, bringing together leading experts in the field.
• Advanced diagnostic and therapeutic bronchoscopy
• Cryo technology, argon plasma coagulation, electrosurgery
• Ex-vivo and certified simulator training models
• Guidance by leading international experts
24th World Congress of Bronchology and Interventional Pulmonology
📍 Melbourne, Australia
📆 3–6 December 2026
Hosted by TSANZ & WABIP
The premier international meeting in bronchology and interventional pulmonology returns for its 24th edition. Join colleagues from around the world for cutting-edge science, hands-on workshops, and networking opportunities.
Abstract submissions are now open, don’t miss the opportunity to present your work on the world stage.
9th European Congress of Bronchology and Interventional Pulmonology
📍 Ljubljana, Slovenia
📆 19–22 May 2027
“Bridges of Multidisciplinarity”
The 9th ECBIP will gather European and international experts to advance the frontiers of bronchology and interventional pulmonology through multidisciplinary collaboration.
Save the date, more details on registration and abstract submission coming soon.
• Share initiatives and collaborations
• Submit educational material
• Promote national and international projects
Together, we continue to build a strong, united, and forward-looking interventional pulmonology network.
Share your best moments!
You are invited to share your best bronchoscopic images and videos of airway and/or pleural abnormalities. Selected submissions will be featured in upcoming EABIP Newsletter issues and shared across our social media channels (LinkedIn, Instagram, Facebook).