A New Chapter for EABIP — Leadership Renewal, Strengthened Vision, Continued Excellence
Newsletter March 2026
A New Chapter for EABIP
Leadership Renewal — Strengthened Vision — Continued Excellence
Dear colleagues and friends,
In 2026, EABIP continues its journey with the partial renewal of its Board. Moments like these are not only about transition, they are about people, dedication, and shared commitment.
We would like to warmly acknowledge the remarkable work, time, and passion invested by our Board members. Their collective efforts have strengthened our community, expanded educational opportunities, and supported the development of interventional pulmonology across Europe and internationally. Thanks to this ongoing dedication, EABIP continues to grow as a dynamic and collaborative network.
As new members join the Board, they do so building on strong foundations, bringing fresh perspectives while preserving the values, spirit, and ambition that unite us. Together, we remain committed to advancing our field, supporting our colleagues, and fostering the next generation of interventional pulmonologists.
We are grateful for the trust and engagement of our community, and we look forward to continuing this journey together.
The EABIP Board 2026
President
Erik (H.F.M.) van der Heijden
President Elect
Venerino Poletti
★ New member
Dir. Membership & Education
Lina Zuccatosta
Past President
Grigoris Stratakos
Dir. Communication & Public Affairs
Lamya Chrif Morand
★ New member
Secretary
Philip Emmanouil
★ New member
Dir. Finance & Industry
Antonio Bugalho
⭐ Member Spotlight
Welcoming Our New UK Regent
Dr. Ricky Thakrar
Dr. Thakrar is a Respiratory Consultant at University College London. He qualified from Imperial College London, completed his specialist training at the Royal Brompton Hospital, and obtained a PhD at UCL, where his research focused on state-of-the-art bronchoscopy techniques for the management of central airway cancers.
His clinical expertise lies in interventional bronchoscopy, including laser resection, airway stenting, cryotherapy, photodynamic therapy, and brachytherapy. He has a particular interest in the management of pre-malignant and malignant diseases of the tracheobronchial tree, combining advanced procedural skills with a strong academic background.
🔬 Scientific & Clinical Updates
📖 Paper Highlight
Robotic vs CBCT Navigation Bronchoscopy for Peripheral Lung Lesions
A study published in ERJ Open Research compared shape-sensing robotic assisted bronchoscopy combined with CBCT (ssRAB+CBCT) to CBCT-guided navigation bronchoscopy (CBCT-NB) for diagnosing small peripheral pulmonary lesions. In a propensity-matched analysis, the diagnostic yield was similar between techniques (73% vs 70%). While robotic bronchoscopy showed potential advantages in challenging nodules without a bronchus sign, larger studies are needed to determine its clinical impact and cost-effectiveness.
Second Primaries and Recurrence in Early-Stage Lung Cancer
A recent study published in Respiration evaluated the incidence of second primary lung cancer (SPLC) and recurrence in patients with early-stage lung cancer managed in a navigation bronchoscopy program. Among 188 patients, 40.4% developed a new lung lesion requiring further diagnosis and treatment, most commonly metachronous SPLC. In newly diagnosed patients, 22% developed SPLC or recurrence within a median follow-up of 3.3 years, highlighting the need for adequate tissue sampling and ongoing surveillance in nodule-care centers.
Real-Time pCLE-Guided Cryobiopsy for Peripheral Lung Lesions
A prospective pilot study from the Medical University of Vienna evaluated the feasibility of performing transbronchial cryobiopsy under real-time probe-based confocal laser endomicroscopy (pCLE) guidance. By allowing simultaneous insertion of the cryoprobe and pCLE probe, this technique provides real-time visualization of the lesion and may improve biopsy targeting.
In 11 patients with rEBUS-identified peripheral lesions, the procedure was performed safely and without complications, showing an 82% agreement between the pCLE “tool-in-lesion” signal and histological diagnosis. These early results suggest that pCLE guidance could help optimize sampling during bronchoscopic biopsy.
CBCT-Guided Transbronchial Cryobiopsy Diagnosing a Pulmonary Hamartoma Mimicking Tuberculosis
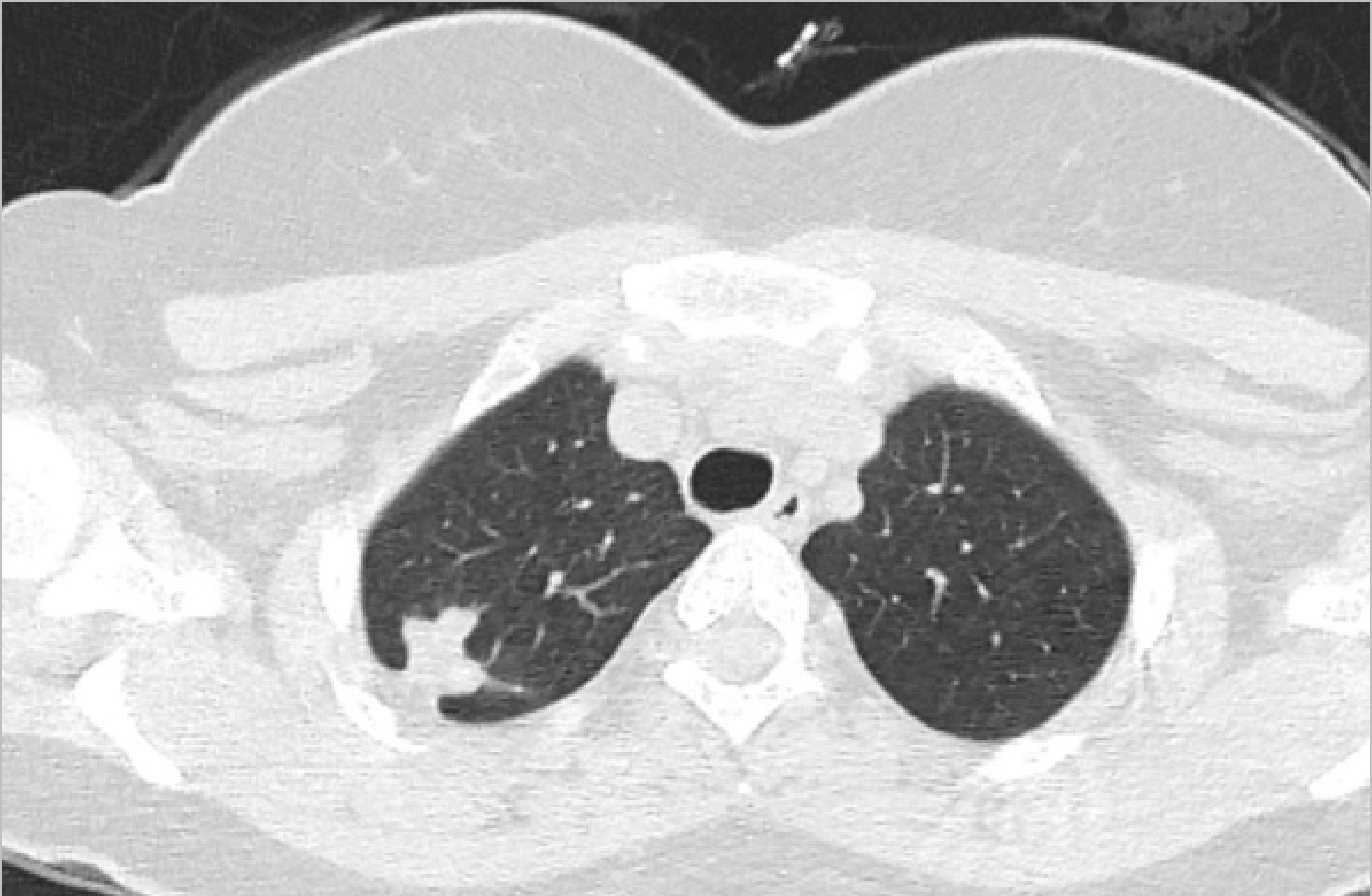
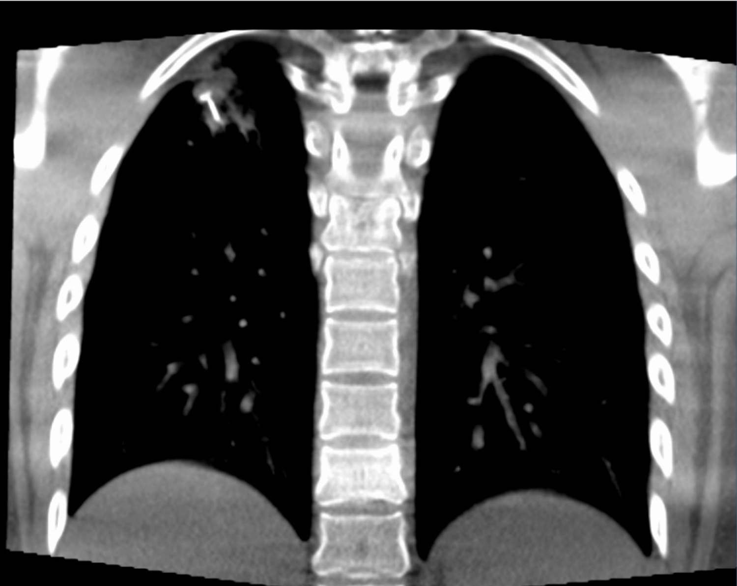
A young asymptomatic woman was referred after an incidental right upper lobe pulmonary nodule was discovered during routine screening. CT thorax revealed a 17 × 15 mm subpleural nodule with lobulated margins and focal calcification, raising suspicion for a tubercular granuloma in this healthcare worker from a tuberculosis-endemic region.
CT Axial
CT Coronal
Advanced bronchoscopy was performed using augmented fluoroscopy with cone beam CT (CBCT) confirmation of tool-in-lesion, followed by transbronchial cryobiopsy with a 1.1 mm cryoprobe. The procedure was uneventful.
🎥 Procedure Video
Histopathology demonstrated features consistent with a benign pulmonary hamartoma, while microbiological testing including GeneXpert, AFB smear, fungal smear, and bacterial cultures was negative.
🔬 Histopathology
This case highlights that pulmonary hamartomas can radiologically mimic tubercular granulomas. It also underscores the value of CBCT-guided bronchoscopic navigation and cryobiopsy in safely obtaining diagnostic tissue from peripheral pulmonary lesions, helping avoid unnecessary anti-tubercular therapy.
🔍 Procedure Spotlight
🤝 Community & Networking
Strengthening Collaboration with IPOG
EABIP is pleased to strengthen its collaboration with the Interventional Pulmonary Outcomes Group (IPOG), an international research consortium dedicated to improving outcomes in interventional pulmonology through collaborative clinical research.
This partnership reinforces our shared commitment to advancing evidence-based practice, fostering international cooperation, and supporting high-quality research initiatives across our community.
24th World Congress of Bronchology and Interventional Pulmonology
📍 Melbourne, Australia
📆 3–6 December 2026
Hosted by TSANZ & WABIP
The premier international meeting in bronchology and interventional pulmonology returns for its 24th edition. Join colleagues from around the world for cutting-edge science, hands-on workshops, and networking opportunities.
Abstract submissions are now open, don’t miss the opportunity to present your work on the world stage.
9th European Congress of Bronchology and Interventional Pulmonology
📍 Ljubljana, Slovenia
📆 19–22 May 2027
“Bridges of Multidisciplinarity”
The 9th ECBIP will gather European and international experts to advance the frontiers of bronchology and interventional pulmonology through multidisciplinary collaboration.
Save the date, more details on registration and abstract submission coming soon.
• Share initiatives and collaborations
• Submit educational material
• Promote national and international projects
Together, we continue to build a strong, united, and forward-looking interventional pulmonology network.
Share your best moments!
You are invited to share your best bronchoscopic images and videos of airway and/or pleural abnormalities. Selected submissions will be featured in upcoming EABIP Newsletter issues and shared across our social media channels (LinkedIn, Instagram, Facebook).